...

Dr. Luisa Di Luzio

ginecologo

Pescara, Milano
Prenota una visita Contattami

Informazioni su di me

Chi sono...
Sono innanzitutto un Medico. Credo nell'importanza dell'ascolto del paziente, nella importanza della Cura delle persone e nella complessità dell'individuo e delle malattie.
Sono un medico che coniuga la passione ANTICA per l'interpretazione dei segni e sintomi che il paziente descrive, alle più moderne tecnologie diagnostiche.
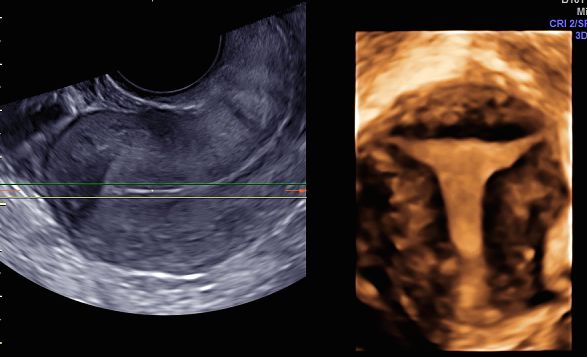
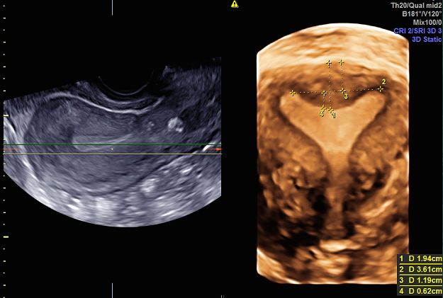
Sono esperta in ecografia 3D (tridimensionale) di cui sono stata docente a livello nazionale ed internazionale per oltre 20 aa, rivestendo incarichi nazionali nell'ambito della Società di Ecografia in Ostetricia e Ginecologia (SIEOG).
Credo nella Professione Medica che richiede un aggiornamento costante.
Credo nella PREVENZIONE dei problemi PRIMARIA ( test genetici e stile di vita per cercare di evitare o ritardare la comparsa di malattia ) o SECONDARIA (diagnosi precoce di malattia per cura o riduzione e limitazione degli effetti ).
Per tale motivo offro la possibilità di accedere a Test genetici innovativi o terapia integrata.
Credo nella medicina integrata utilizzando prevalentemente prodotti naturali (fitoterapia ed integrazione) e farmaci solo quando necessario per la cura in acuto delle malattie.
Mi preoccupo del ritorno all'EQUILIBRIO della paziente, dopo la malattia, per prevenire ulteriori problemi.
Credo che la Fertilità delle Pazienti e l'evoluzione fisiologica della GRAVIDANZA possano migliorare con una valutazione attenta della paziente PRECONCEZIONALE.
Credo che una corretta valutazione della GRAVIDANZA INIZIALE possa migliorarne il decorso e gli esiti.
Credo che la diagnostica ecografica ESPERTA, associata ad un corretto studio dei valori ematici e ormonali della paziente consenta di effettuare CORRETTA DIAGNOSI ed impostare CORRETTA CURA.
Credo che un corretto stile di vita e la correzione di carenze nutrizionali ed ormonali ed una corretta valutazione della funzionalità intestinale aiutino la DONNA a rimanere GIOVANE ed in SALUTE anche dopo la menopausa.
Formazione
  • Dottorato di ricerca presso Università degli Studi di Milano il 16/04/2001 con votazione di 100/100 e lode in Scienza dello sviluppo prenatale, diagnosi e terapia fetale
  • Laurea in Medicina e Chirurgia il 11/04/1994 con votazione di 110/110 e lode
  • Research Fellowship presso il King s college Hospital, Harris Birthright Research Center, negli anni 19961997
  • Specializzazione in Ginecologia E Ostetricia presso Università degli Studi di Bologna Alma Mater Studiorum il 10/11/1998, con votazione di 70/70 e lode
Competenze linguistiche
  • Italiano
  • Inglese
  • Francese
Premi e riconoscimenti
  • Direttivo SIEOG (Società Italiana di Ecografia in Ostetricia e Ginecologia) 2010-2015
Pubblicazioni
  • Dolori Mestruali: Sopprimere o Curare? (L'altra Medicina, Maggio 2020)
Patologie trattate
  • Gravidanza
  • Endometriosi
  • Menopausa
  • Cisti ovariche
  • malformazioni uterine
  • setto uterino
  • utero bicorne
  • Cistite
  • translucenza nucale
  • infertilità
  • Fibroma uterino
  • Leiomioma dell'utero
  • neoplasie della cervice uterina

Prenota una visita

Centro Medico Salus Italia

Viale Amerigo Vespucci 169
65126 Pescara, PE
Chiama il dottore

Scegli l'orario più opportuno e prenota un appuntamento!

Studio Medico Di Luzio

Via Donatello 5
65124 Pescara, PE
Chiama il dottore

Consulenza online



Chiama il dottore

Centro Medico Sempione

Via Francesco Melzi d'Eril 26
20154 Milano, MI
Chiama il dottore

Prezzi

pap test Da 100 €
visita ostetrica di controllo 250 €
visita ginecologica di controllo 200 €
visione esami e referti 150 €
prima visita ostetrica 200 €
ecografia ostetrica secondo trimestre 250 €
prima visita ginecologica 250 €
visita ginecologica da concordare
translucenza nucale Da 250 €
test del DNA fetale da concordare
visita ginecologica + ecografia transvaginale Da 250 €
visita ostetrica + ecografia da concordare
ecografia morfologica in gravidanza Da 260 €
visita ginecologica + ecografia ovarica Da 250 €
ecografia 3D Da 260 €
ecocardiografia fetale Da 260 €

Recensioni dei pazienti

Professionalità, gentilezza, umanità. Non avrei potuto affidarmi a mani migliori
Paziente
Paziente
La dottoressa é stata molto precisa nello spiegarmi come risolvere il problema e soprattutto a farmi capire qual'era
Paziente
Paziente
La visita con la Dott.ssa Di Luzio è stato un viaggio alla scoperta del nostro bimbo. Ci siamo recati al centro per effettuare una pre-morfologica e la Dott.ssa, dopo aver effettuato un colloquio conoscitivo con i genitori e l'andamento della gravidanza, ha effettuato l'ecografia spiegandoci nel dettaglio tutto ciò che vedevamo allo schermo. È stato un piacere averla conosciuta, la quale si è dimostrata precisa e professionale.
Paziente
Paziente
Ho trovato questa visita estremamente positiva. La Dottoressa è stata eccezionalmente competente, professionale e soprattutto umana, il che ha creato un ambiente di fiducia fin dal primo momento. Mi ha messo completamente a mio agio, ascoltandomi attentamente e dedicandomi il tempo necessario senza fretta. Le spiegazioni relative alla visita e alle eventuali diagnosi sono state chiare, dettagliate e fornite con un linguaggio semplice e comprensibile. Ho apprezzato molto la sua delicatezza durante la visita e la sua capacità di spiegare ogni passaggio in modo da rassicurarmi. L'ambiente dello studio era pulito, accogliente e garantiva la massima riservatezza. Consiglio vivamente questa professionista a chiunque cerchi non solo competenza medica, ma anche empatia e attenzione alla persona. Sono molto soddisfatta del percorso intrapreso e tornerò sicuramente.
Paziente
Paziente
Dottoressa molto preparata, attenta ,empatica sensibile.....
Paziente
Paziente
La Dottoressa Di Luzio è una professionista attenta, empatica ed estremamente esperta. Il percorso pre concezionale grazie alle sue indicazioni ci ha concesso di raggiungere l’obiettivo nei tempi previsti e in maniera fisiologica. Gli esami ecografici, di avanguardia, sono svolti con meticolosità unita a tanta umanità che riempie il cuore. Super raccomandata, fiducia ben ripagata.
Paziente
Paziente
Bravissima professionistica e anche simpatica molto attenta al problema.
Paziente
Paziente
Vorrei trovare parole perfette per descrivere la straordinaria sensazione che abbiamo provato durante la visita con la Dottoressa Di Luzio. Ma temo che nessuna parola renda davvero giustizia. La sua preparazione è evidente, rassicurante e rarissima da incontrare. Ma ciò che colpisce ancor di più è la sua empatia autentica, la capacità di mettere a proprio agio anche nei momenti più delicati. In un percorso spesso fatto di incertezze, ansie e parole vuote, la Dottoressa è stata per noi un faro limpido, una professionista che ci ha restituito fiducia e serenità. È difficile trovare professionisti così: competenti ma umani, precisi ma accoglienti. Siamo immensamente grati di aver incontrato la Dottoressa Di Luzio. Non cercate oltre. Raccomandatissima!
Paziente
Paziente
Visita molto accurata, spiegazioni eccellenti, ci si sente a proprio agio
Paziente
Paziente
Bravissima Dottoressa , molto utile mi ha salvata in un momento difficile con spiegazioni accurate
Paziente
Paziente
Professionalità e competenza. Rapporto consolidato nel tempo.
Paziente
Paziente
La dottssa di Luzio si è dimostrata molto professionale, ha individuato il mio problema contrariamente a molti altri ginecologi che avevo interpellato in precedenza. Mi ha prescritto una terapia efficace e mirata che ha subito dato i risultati sperati. La consiglio vivamente....
Paziente
Paziente
Dottoressa sensibile e disponibile. Molto attenta alle necessità delle pazienti. Fornisce ampie spiegazioni in maniera chiara e dettagliata.
Paziente
Paziente
Una Professionista molto preparata. Le sue spiegazioni sono dettagliate, ma comunque chiare. Si ha la possibilità di ragionare insieme sulle terapie, in base alle problematiche riscontrate. Personalmente è stata una piacevole scoperta che mi ha aperto un mondo
Paziente
Paziente
Medico molto competente e con un approccio multidisciplinare
Paziente
Paziente
La dott. Di Luzio - ginecologa è preparatissima, attenta e disponibile nelle spiegazioni.
Paziente
Paziente
Professionale, preparatissima ed estremamente chiara nelle spiegazioni. È anche molto gentile e simpatica !
Paziente
Paziente
Empatia, dolcezza, accuratezza non manca di nulla.
Paziente
Paziente
Bravissima dottoressa; molto empatica e competente. Fornisce informazioni dettagliata ascoltando attentamente il paziente! Consigliatissimo
Paziente
Paziente
Disponibilità, professionalità ed empatia la contraddistinguono
Paziente
Paziente
Sono felicissima di averla incontrata nel mio percorso... dottoressa attenta e scrupolosa.. senza tralasciare nessun dettaglio e sopratutto disposta ad ascoltare.
Paziente
Paziente
La dottoressa è una persona molto disponibile, è molto chiara nelle spiegazioni mette a proprio agio. Mi era stata consigliata da una mia collega di lavoro che si era trovata molto bene e da allora, sono passati 8 anni e non posso che confermare l'ottima scelta fatta.
Paziente
Paziente
Come al solito, ottime terapie consigliate. Uno sguardo a 360 gradi su tutti gli aspetti per migliorare il nostro benessere.
Paziente
Paziente
Consigliatissima, scrupolosa nei dettagli, e molto preparata nel suo campo, molto cortese e disponibile. Una bravissima ginecologa
Paziente
Paziente
Dottoressa molto preparata, spiega tutto nel dettaglio durante la visita, ha un approccio molto dolce che mette a proprio agio. La consiglio
Paziente
Paziente
Ogni volta è una conferma della sua professionalità, competenza ed empatia!
Paziente
Paziente
Dottoressa empatica Molto chiara nelle spiegazioni
Paziente
Paziente
Il vero Medico. Perfetta in tutto. Professionale, preparata, risolutiva.
Paziente
Paziente
Professionalità, competenza, disponibilità ed empatia
Paziente
Paziente
La dottoressa è molto cortese e disponibile... l'ambiente molto curato.
Paziente
Paziente
Massima competenza, attenzione al paziente, empatia. Che dire, veramente una bravissima ginecologa. La consiglio.
Paziente
Paziente
Come sempre disponibile e cortese, empatica, pazienti a proprio agio, alta professionalità
Paziente
Paziente
Ho effettuato oggi la mia prima visita con la dottoressa Di Luzio. La dottoressa ha un approccio estremamente moderno ed aggiornato alle problematiche di infertilità grazie all’esperienza internazionale accademica. Da subito si ha la sensazione di trovarsi di fronte ad una professionista di notevole competenza, sicurezza, capacità di analisi approfondita e anche di grande umanità. Sono uscita dalla visita rincuorata di poter raggiungere il mio obiettivo di gravidanza grazie alle indicazioni specifiche fornite dalla dottoressa. Consiglio a tutti di affidarsi a lei.
Paziente
Paziente
Sempre molto professionale, esplicativa e di livello superiore…grazie
Paziente
Paziente
Super non la supera nessuno!!! E' competente e non tralascia nulla. La consiglio a tutte le donne che hanno bisogno di un a professionista.
Paziente
Paziente
Un viaggio davvero meraviglioso… alla scoperta del mio bambino. Dettagliata, minuziosa una visita davvero eccezionale! Ho visto davvero tutto del mio bimbo, bellissimo!
Paziente
Paziente
La dottoressa Di Luzio è stata per me la salvezza da molti anni sono afflitta da varie patologie dell'apparato riproduttivo e ho effettuato molti interventi soffrendo molto, ho cercato molto in tutta italia qualcuno che potesse curarmi e con fatica dopo tanti tentativi ho trovato lei e ogni giorno ringrazio per questo. Oltre alla sua eccellente preparazione è molto accogliente ti offre soluzioni .. alternative e con la sua calma riesce a farti sentire serena. Ogni volta faccio 600 km per vederla lì faccio volentieri perché sono fruttiosi sento che posso fidarmi di lei è una persona gentile delicata ma che parla chiaro e non metterebbe mai in pericolo una sua paziente . Per me consigliatissima. Chiara Coldorfei.
Paziente
Paziente
Molto Attenta, paziente, empatica, molto preparatae mi fido solo di lei, perché emi sta aiutando a risolvere un problema importante che ho da tantissimo tempo ,che altri ginecologi non sono riusciti né comprendere né a darmi le cure giuste.
Paziente
Paziente
Molto bene dottoressa molto preparata e attenta al paziente, unica pecca non avere una e-mail diretta della dottoressa per poter chiedere eventuali chiarimenti proprio a lei anziché alla segretaria
Paziente
Paziente
Professionista molto attenta e chiara nell 'esporre la diagnosi; ha soddisfatto tutti i quesiti posti. Ottima accoglienza
Paziente
Paziente
La dottoressa è un'ottima professionista, scrupolosa e attenta.
Paziente
Paziente
Dottoressa molto preparata! Gentilissima e attenta all’ascolto!!
Paziente
Paziente
La dottoressa è una professionista, accoglie la paziente, la consiglia e la mette a proprio agio. Sono molto soddisfatta!
Paziente
Paziente
Cinque stelle sono poche. Tutto perfetto. La professionalità non è in discussione e in più c'è molto altro .... Io ad ogni visita esco più tranquilla e sicura sul da farsi. Spiegazione chiare e precise. Se poi aggiungiamo macchinari all'avanguardia e formazione fuori dal comune ne segue che non smetterò mai di suggerire e consigliare la ginecologa Dottoressa Luisa Di Luzio.
Paziente
Paziente
Professionale, visita accurata e di altissimo livello. Informazioni chiare e dettagliate. Attenzione scrupolosa sotto ogni aspetto.
Paziente
Paziente
Visita eccezionale, dottoressa molto attenta sia nella visita che risulta minuziosa e vale ogni singolo euro pagato che nella spiegazione degli accorgimenti da seguire andando anche oltre la sua specifica pertinenza. 10 e lode!
Paziente
Paziente
Da anni sono una sua paziente e da sempre ricevo con la massima professionalità, chiarezza, cortesia e disponibilità la sua consulenza specialistica. Questo per me significa molto, specialmente in situazioni difficili dove l’aiuto di un Medico Professionista è l’unica soluzione per poterle gestire e affrontare. Sono felice di essere una sua paziente e di avere una Dottoressa così brava nella mia piccola città Pescara!
Paziente
Paziente
Dottoressa molto preparata,la consiglio vivamente .
Paziente
Paziente
Dottoressa attenta, precisa valuta ogni tipo di esame, non si limita assolutamente solo alla parte ginecologica ma ad ogni sintomo, ad ogni fastidio, mai avuto in passato una visita e un attenzione così precise. Sono in premenopausa e sta valutando ogni singola strada da poter attuare visto i miei innumerevoli problemi. Cortesia, puntualità e disponibilità. Grazie Dottoressa
Paziente
Paziente
Empatia, ascolto, disponibilità. Traspare tanta passione e professionalità per il suo lavoro. Ho acquisito consapevolezza di tante cose che ignoravo e, inoltre, ti dedica del tempo per aiutarti a comprenderle. Mi sento di dirle “grazie”.
Paziente
Paziente
La Dottoressa Di Luzio è una specialista molto disponibile e gentile. Competente e comunicativa, mi ha messa a mio agio ed è stata molto accurata nella spiegazione, durante la visita. Macchinari all'avanguardia e pulizia impeccabile. Consigliatissima!
Paziente
Paziente
La dottoressa, oltre a essere estremamente competente, è gentile e soprattutto empatica. Puntualissima, disponibile e attenta. Non posso che consigliarla. R.S.
Paziente
Paziente
Frequento lo studio da anni e mi trovo sempre bene.
Paziente
Paziente
Bravissima e molto gentile! Una dottoressa molto professionale e competente
Paziente
Paziente
Ottima disponibilità ,cortesia nelle spiegazioni molto professionale
Paziente
Paziente
Sempre disponibile ascolta il paziente grazie Professionale puntuale aggiornata ed enorme attenzione
Paziente
Paziente
Dott.ssa molto preparata empatica! Mi ha spiegato meticolosamente dettagli che nessun altro medico mi aveva esposto prima.
Paziente
Paziente
Disponibile, chiara, preparata. Una donna speciale di cui ho apprezzato soprattutto i modi pacati e sereni nell’ ogni tipo di questione
Paziente
Paziente
Molto professionale, competente,scrupolosa, attenta ai dettagli..empatica...disponibile , cortese e rassicurante..
Paziente
Paziente
Professionalità, ascolto, competenza. Mi sono trovata molto bene. La dottoressa mi ha molto rassicurata.
Paziente
Paziente
Dott.ssa gentilissima, molto empatica e disponibile. Il trattamento che mi ha consigliato con integratori ed ormoni bioidentici mi ha rimesso in forma, ridato tanta serenità e una grande carica energetica che stavo perdendo. La consiglio vivamente! Affidatevi a lei.
Paziente
Paziente
Una professionista di alto livello … è molto preparata , ha un approccio olistico … mai effettuato una visita specialistica in maniera così meticolosa .. La consiglierò a tutte le mie amiche …
Paziente
Paziente
Dottoressa preparata, disponibile ad ascoltare con cura tutto il vissuto anche legato indirettamente ai motivi della visita, mostrando uno sguardo ampio sulla persona, dando consigli per star meglio in un'ottica olistica.
Paziente
Paziente
Dettagliata e professionale,empatica e sorridente,risponde in maniera esaustiva a tutte le domande.professionale,cortese.studio pulito e accogliente.
Paziente
Paziente
Prima esperienza, cordialità empatia e professionalità! Consiglio vivamente la dottoressa di Luzio Luisa
Paziente
Paziente
Dottoressa molto professionale e preparata ma soprattutto grazie a lei sono riuscita ad risolvere il mio problema di amenorrea durato 5 anni in soli 3 mesi di cure, grazie a una cura mirata !! Infinitamente grazie !!
Paziente
Paziente
Cortesia,empatia e sensibilità verso il paziente. La dott.ssa è un ottima professionista presta molta attenzione al paziente
Paziente
Paziente
Accoglienza della segretaria soddisfacente e cortese. La Dott.ssa Di Luzio e’ una Professionista eccellente, molto preparata anche in argomenti differenti dalla sua specializzazione , persona empatica e attenta su tutto, tipico di chi ama il suo lavoro. Visita e diagnosi eccellenti, scrupolosa su tutto pronta ad ascoltarti e trovarti la soluzione ad ogni problema. La consiglio vivamente.
Paziente
Paziente
La visita è stata molto accurata e la Dott.ssa,oltre ad essere precisa ed attenta, ha saputo rassicurarmi rispetto alle mie preoccupazioni dandomi spiegazioni dettagliate e rispondendo a tutte le mie domande .
Paziente
Paziente
Professionista attenta puntuale e competente. In assoluto la migliore sotto ogni punto di vista. Disponibile anche a distanza.
Paziente
Paziente
La dottoressa Di Luzio ha competenze professionali eccellenti, è molto empatica, spiega con chiarezza e semplicità quello che riscontra man mano che procede nella visita ed è molto rassicurante. Consigliatissima
Paziente
Paziente
Dottoressa meravigliosa di grande umanità ed estremamente professionale. Finalmente una Dottoressa che è un vero medico specialista. La consiglio vivamente.
Paziente
Paziente
La dottoressa è stata molto cortese e disponibile, la visita molto dettagliata. Struttura curata e facilmente raggiungibile.
Paziente
Paziente
Dottoressa estremamente competente, chiara nelle spiegazioni, paziente e molto molto umana. Straconsigliata
Paziente
Paziente
Medico attento, professionale, empatico. Vastissime competenze e particolare attenzione al paziente e alla sua storia clinica. Consiglio vivamente di rivolgersi alla Dottoressa Di Luzio, professionista e persona eccellente.
Paziente
Paziente
Dottoressa fantastica! È stata l'unica che ha saputo darmi spiegazioni esaustive ,è davvero dolce , mette a proprio agio , contentissima di averla trovata !
Paziente
Paziente
Dopo tanti anni ritrovarla è stato un piacere! Mi sento sempre molto compresa con lei…che fortuna averla incontrata
Paziente
Paziente
Professionalità unica, strumentazione eccellente. Cortese, attenta, spiegazione su ogni cosa e disponibilità per ogni dubbio. Mi è stata consigliata dalla mia ginecologa, sarò sempre grata ad entrambe. Le uniche due scrupolose, sono andate a fondo su ogni cosa. Continuerò a fidarmi e ad affidarmi a lei .
Paziente
Paziente
Dottoressa preparata e molto delicata. Mi ha subito messo a mio agio. Anche durante la visita mi ha reso partecipe di ogni minimo dettaglio. La ringrazio molto.
Paziente
Paziente
Mi sono sentita subito a mio agio, rassicurata e supportata sulla mia problematica . Ho ricevuto spiegazioni adeguate sulla terapia da intraprendere. Ho trovato tutto: cortesia, disponibilità, professionalità.
Paziente
Paziente
Mi sono sentita subito a mio agio, ambiente accogliente, gentilezza, disponibilità e soprattutto professionalità! Grazie Daniela
Paziente
Paziente
La dottoressa Di Luzio è una professionista gentile, umana e attenta. È molto scrupolosa durante la visita e disponibile per chiarimenti e spiegazioni riguardo le terapie. Dedica il tempo necessario in base alle esigenze della paziente ed è molto professionale e competente. Mi segue da diversi anni. L' ho consigliata ad amiche e la consiglierei a tutte le donne.
Paziente
Paziente
La dottoressa è molto competente, disponibile e scrupolosa. Ama il suo lavoro e si vede, trasmette sicurezza e tranquillità e la sua professionalità è ammirevole
Paziente
Paziente
Prima visita 17 anni fa' alla prima gravidanza nel 2005 ...oggi nel 2022 sono ritornata da lei , una certezza...complimenti per la professionalità , per la dedizione al lavoro...grazie Alla prima gravidanza mi disse che probabilmente la bambina sarebbe nata prima mia figlia è nata a 36 settimane.
Paziente
Paziente
Ascolto empatico e chiarezza nel dare informazioni dettagliate, la dottoressa riesce a infondere fiducia nella cura
Paziente
Paziente
Super consigliata. É il perfetto esempio di ciò che ci si aspetta da un medico. Puntuale brava Cordiale
Paziente
Paziente
Ringrazio la dottoressa per avermi visitato con professionalità e accuratezza Mi ha tolto alcuni dubbi nel spiegare tutto dettagliato nei particolari Oltre aver eseguito una attenta ecografia La consiglio davvero a tutte le donne che vogliono capire bene come sta il proprio bambino
Paziente
Paziente
Prima visita e già mi sento sollevata... molto preparata ed empatica. Trasmette sicurezza e professionalità.
Paziente
Paziente
Professionalità, amore per la ricerca e per il paziente sono tra le qualità di questa competentissima dottoressa.
Paziente
Paziente
Puntuale, precisa e sempre super disponibile! La dottoressa Di Luzio mi aiuta sempre molto ed fornisce consulenze precise e puntuali
Paziente
Paziente
Donne-medico come Lei bisogna cercare con lente di ingrandimento! Finalmente, mi sento sicura che sono nelle buone mani,e ne sono certa che mi aiuta a diventare mamma! Non vedo l'ora della visita in studio!
Paziente
Paziente
Studio medico eccellente Dottoressa molto disponibile e attenta. Per la prima volta mi sono sentita davvero a mio agio. Grazie di cuore La consiglio a tutti
Paziente
Paziente
Alta professionalità, gentilezza, ascolto delle problematiche con grandissima attenzione. Massima disponibilità. Puntualità. Lo studio offre tranquillità ed accoglienza. Esperienza positiva e specialista da consigliare per l'eccellente competenza professionale.
Paziente
Paziente
Una Dottoressa eccellente e competente, Con calma, pacatezza e gentilezza spiega tutto e ti aiuta a capire...ottimo servizio...
Paziente
Paziente
La Dott.ssa Di Luzio Luisa e' una ginecologa altamente qualificata e professionale . Oltre che una persona estremamente delicata e gentile.
Paziente
Paziente
La visita mi ha soddisfatta completamente. La dottoressa Di Luzio è molto preparata, rassicurante e mi ha subito messa a mio agio. La consiglio vivamente a chiunque abbia bisogno
Paziente
Paziente
Dopo anni alla ricerca di un ginecologo capace e cordiale, ho trovato la pace. Avevo bisogno di risposte e la dottoressa me le ha date tutte. Con una gentilezza disarmante. È stata delicata e sono stata a mio agio tutto il tempo. Attentissima anche nel colloquio conoscitivo. Non potevo chiedere di meglio. Grazie.
Paziente
Paziente
Definirla “visita ginecologica” è assolutamente riduttivo. Ho trovato una disponibilità infinita ad ascoltare esigenze ed ottenere puntuali risposte frutto di studio ed umanità. Un’umiltà disarmante nell’approcciare con il paziente. Una specialista cortese e tanto preparata che interviene sul benessere della persona a 360 gradi e non solo a livello ginecologico
Paziente
Paziente
Dottoressa disponibile, cordiale, attenta, empatica, gentilissima e ottima preparazione. Grazie per l attenzione prestatami
Paziente
Paziente
La sua professionalità é rassicurante e la sua gentilezza e cortesia mi hanno messa completamente a mio agio. Estremamente soddisfatta
Paziente
Paziente
La dottoressa è molto scrupolosa, gentile e disponibile. Ha svolto una attenta anamnesi, una ecografia spiegata passo passo, un Pap test assolutamente indolore e una diagnosi efficace. Sicuramente da consigliare.
Paziente
Paziente
È stata la visita più emozionante in assoluto.Ho apprezzato il controllo estremamente dettagliato della Dottoressa , cortese e professionale come ormai ce ne sono poche . Consigliatissima
Paziente
Paziente
È stata una visita molto soddisfacente e la dottoressa è stata molto gentile nei miei confronti. Ritornerò molto volentieri per altre cose da fare.
Paziente
Paziente
Ho scelto la Dottoressa Di Luzio quando ho deciso di voler un bambino. Ha seguito me e mio marito nelle analisi pre gravidanza e poi ha seguito me durante la gravidanza. Quello che mi piace di lei è la sua scrupolosità, la sua attenzione, il tempo che dedica durante le visite, le varie analisi mirate che propone e le integrazioni naturali nella stragrande maggior parte dei casi. Ti segue a 360 gradi e sa sempre la cosa migliore ds consigliare. Sarà la mia ginecologa anche per il mio futuro bambino.
Paziente
Paziente
La dottoressa Di Luzio si è sempre dimostrata disponibile e comprensiva, pronta ad ascoltare le tue esigenze. Sempre molto dettagliata nelle spiegazioni. Una grande professionista.
Paziente
Paziente
Finalmente ho trovato la dott.ssa che cercavo.... appena entrata nel suo studio mi sono sentita a mio agio...competenza, cortesia e dolcezza la contraddistinguono.
Paziente
Paziente
Rispetto massimo delle norme anti COVID , la dottoressa è impeccabile nel suo servizio , esaustiva come sempre !
Paziente
Paziente
Visita approfondita e accurata, dottoressa attenta, disponibile e capace di infondere tranquillità alla paziente
Paziente
Paziente
La dottoressa Di Luzio è molto professionale, cordiale e disponibile. La visita è stata scrupolosa e accurata. Sono davvero molto soddisfatta. Lo studio è pulito e molto ben organizzato, il servizio di segreteria davvero efficiente.
Paziente
Paziente
La dottoressa si distingue per professionalità e competenza. La segretaria è efficientissima. Lo studio è dotato di uno schermo tv che ti fa vivere il momento dell’ecografia con effetto home cinema!
Paziente
Paziente
La dottoressa Luisa Di Luzio,riesce sempre a mettermi a proprio agio; sempre disponibile e cortese,oltre ad essere chiara ed esauriente nelle sue spiegazioni.Sono veramente contenta di aver fatto questa scelta.
Paziente
Paziente
Professionalità, attenzione, grande preparazione e capacità di Ascolto. Non è facile trovare una ginecologa che tenga così in considerazione le molteplici problematiche femminili! !
Paziente
Paziente
A differenza di altri specialisti a cui mi sono rivolta, la dott.ssa è andata a fondo del mio quadro clinico richiedendo esami specifici che mai mi avevano prescritto ed eseguendo eco 3d molto dettagliata. Molto scrupolosa a verificare ogni aspetto. Molto chiara nelle spiegazioni e anche molto pratica nella risoluzione del mio problema. Ti senti davvero seguita.
Paziente
Paziente
Un medico cordiale, attento, scrupoloso e professionale. La dottoressa è molto disponibile, non dà nulla per scontato e ascolta davvero quello che le viene detto. Sono molto contenta e soddisfatta.
Paziente
Paziente
Sono anni ormai che sono in cura da lei e non la cambierei per nulla al mondo. Ho provato ad andare da altri specialisti, ma lei si distingue per gentilezza e disponibilità. Risponde a tutte le mie domande super dettagliatamente, spiegando tutto sempre con pazienza e gentilezza. Ha risolto il 90% dei miei problemi e siamo in dirittura d'arrivo per arrivare al 100%! È una persona meravigliosa e si vede quanto tenga alla salute delle sue pazienti.
Paziente
Paziente
La consiglio vivamente , é di una professionalità più unica che rara. Ti aiuta a risolvere situazioni difficili e complicate come nessun altro
Paziente
Paziente
La Dottoressa Di Luzio è una professionista come poche nell’ambito della ginecologia. Alla elevata professionalità, frutto di laboriosi studi, si accompagna il tatto e la delicatezza di una Donna che capisce e sarapportarsi alle sue pazienti. Nutro una gran stima.
Paziente
Paziente
Molto molto brava e per qualsiasi problema ha una soluzione. Dottoressa Di Luzio mi ha salvata, è molto simpatica e disponibile.
Paziente
Paziente
La preparazione è sempre eccellente e le spiegazioni semplici e chiare sono sempre esaustive e precise... una donna speciale, ma la cosa più importante è la sua bravura...
Paziente
Paziente
Buona accoglienza, personale disponibile e studio confortevole e pulito. C'è stato un pochino da attendere ma sono stare impiegate tutte le accortezze per accelerare i tempi e rispettare la normativa COVID19
Paziente
Paziente
Gentilissima,disponibile, professionale, piena di umanità, studio all'avanguardia, consiglio vivamente
Paziente
Paziente
molto attenta e scrupolosa. ottimista e decisa sul da farsi del mio percorso nel cercare di risolvere le mie problematiche. Mi ha rincuorata sotto certi aspetti. speriamo bene!
Paziente
Paziente
Lo studio è ben organizzato, inoltre la dottoressa è molto dolce ed empatica il che è un fattore molto importante. Consigliatissima
Paziente
Paziente
Grande cortesia e appropiatezza in sala d'attesa, visita accurata e scrupolosa, disponibilità da parte della dottoressa sia per l'ascolto che per le spiegazioni tecniche richieste, atteggiamento empatico .
Paziente
Paziente
Visita molto esaustiva, Dottoressa molto disponibile e preparata a 360 gradi.mi ha dato informazioni oltre la visita
Paziente
Paziente
La Dottoressa è molto professionale, precisa ed attenta. Scrupolosa ed empatica, non tralascia nulla, risponde a tutte le domande poste con semplicità e chiarezza. Molto Soddisfatta. Lo studio è accogliente e la segretaria molto gentile.
Paziente
Paziente
La dottoressa è stata molto disponibile e gentile. Mi ha inserito in agenda per una visita urgente. La visita è stata molto accurata, soprattutto nel momento dell'anamnesi. Addirittura si è messa lei stessa in contatto con un altro dottore che mi segue per discutere insieme del mio caso....cosa che non mi è mai capitata prima. Fiduciosa seguirò il suo piano terapeutico sperando possa aiutarmi a risolvere i miei problemi.
Paziente
Paziente
Mi sono rivolta alla Dott.ssa Di Luzio per la morfologica della mia prima gravidanza. È stata molto gentile e competente. È molto chiara nella spiegazione e meticolosa nel controllo sia della futura mamma che del Bambino. Una grande professionista!
Paziente
Paziente
Dottoressa scrupolosa e attenta. La visita, 3D al 7mese di gravidanza, è durata un ora dove sono stata “accompagnata” passo passo nella visione dettagliata del bimbo. Empatica.
Paziente
Paziente
Professionale, rassicurante, gentilissima. Vengo in questo studio dal 2012 e non me ne sono mai pentita. La consiglio vivamente.
Paziente
Paziente
La dottoressa é scrupolosa e chiara. È una vera professionista che consiglio ad altre donne. Molto attenta
Paziente
Paziente
Molto gentile e disponibile, ti mette a tuo agio, simpatica.. La visita é molto accurata e ti da buoni consigli
Paziente
Paziente
Bravissima persona, professionista e competente. Consiglio a tutte le signore. Dottoressa spiega in modo dettagliato.
Paziente
Paziente
La dottoressa è molto gentile, mi sono sentita accolta e soprattutto ascolta attentamente. La sua disponibilità mi ha rassicurata nel momento in cui ho avuto bisogno di un consiglio.
Paziente
Paziente
Prima visita con la dottoressa. Ha subito capito la mia problematica che altri ginecologi non avevano minimamente ipotizzato. Mi ha indirizzato per gli accertamenti da svolgere. Professionale, empatica, chiara nelle spiegazioni. Già fissato un appuntamento per gennaio.
Paziente
Paziente
Tanta professionalità, competenza e studio per una diagnosi a 360 gradi. Il tutto sempre con il giusto tatto.
Paziente
Paziente
La Dottoressa è sempre molto disponibile ad empatica, precisa nel darti tutte le spiegazioni a dubbi e domande.
Paziente
Paziente
Consulenza online dopo visita effettuata, per chiarimenti sulla terapia. Cortesia, attenzione e competenza, il tutto eccellente.
Paziente
Paziente
Sono paziente della dott. ssa DI Luzio da circa 20 anni, il livello di professionalità è costantemente in evoluzione.
Paziente
Paziente
La dolcezza e professionalità della dottoressa Di Luzio mi hanno profondamente colpita. Visita approfondita senza tralasciare nulla e spiegazioni altrettanto soddisfacenti.
Paziente
Paziente
Io sono molto contenta che sono andata da dottoressa Luisa di Luzio,è una dottoressa che consiglio a tante donne
Paziente
Paziente
La dottoressa Di Luzio è molto disponibile ,esauriente,chiara nelle sue spiegazioni.Veramente un'eccellenza da non farsi scappare.
Paziente
Paziente
Disponibilità e cortesia sono di casa. sempre esaustiva e chiara nel fornire chiarimenti e/o consigli.
Paziente
Paziente
Altissima professionalità e competenza unita a gentilezza , disponibilità ed empatia... qualità non sempre riscontrabili in un medico!! Complimenti!! La consiglio vivamente!!
Paziente
Paziente
“LA Dott.ssa” Di Luzio e non “una dott.ssa “ Penso di far capire di più così che con tante parole. E in questo periodo di grande emergenza Covid è ancora di più al Top, sempre accanto ai suoi pazienti.
Paziente
Paziente
Ottime capacità relazionali... spiccata attitudine nel spiegarti le cose ..... persona sincera e realista..... la considero un ottima persona e onesta . Mi ha dato delle speranze per diventare mamma...
Paziente
Paziente
Grande professionalità unita a gentilezza , disponibilità ed empatia. Qualità non sempre riscontrate in un medico. La conosco da venti anni e per me è la migliore
Paziente
Paziente
La dottoressa ascolta con attenzione e dedica tutto il tempo necessario alla paziente. È gentilissima
Paziente
Paziente
Molto preparata, sensibile e professionale... Attenta e precisa sulle spiegazioni!! Dottoressa dolcissima!!
Paziente
Paziente
Dottoressa fantastica. Disponibile, efficiente, tranquilla, spiega tutto nel minimo dettaglio. Sono super soddisfatta.
Paziente
Paziente
Visita molto accurata, spiegazioni dettagliate, cortesia e puntualità. Gli spazi sono ampi e ben igenizzati,
Paziente
Paziente
Estrema competenza e attenzione al paziente che viene seguito con la massima cura e professionalità. Notevole qualità delle risoluzioni ecografiche
Paziente
Paziente
Consiglio a tutti una visita con la dottoressa. Grazie a lei ho risolto il problema che mi portavo da tempo. Amenorrea. Anche la visita “costicchia” un po’ di più a confronto ad altri ginecologi, ne vale la pena!
Paziente
Paziente
Professionista di grande esperienza che riesce a tranquillizzare il paziente. Strumentazione adeguata. Consigli ampi anche sul quadro generale della persona
Paziente
Paziente
Lo studio della Dott.ssa costituisce un clima accogliente e riservato , l’esperienza è la competenza hanno inoltre favorito la possibilità di affidarmi.
Paziente
Paziente
Dolcissima e professionale dottoressa. Esco ogni volta dal suo studio più che soddisfatta, pagherei anche di più di quello che chiede . L adoro!
Paziente
Paziente
Molto competente, dolcissima, mi ha messo subito a mio agio, ha risposto a i miei dubbi, bello studio
Paziente
Paziente
Bravissima molto scrupolosa. L’unica ad aver trovato il motivo del mio mal di pancia con il ciclo. Esito: Piccole cisti di endometriosi. Spiega in maniera molto dettagliata unica pecca più cara degli altri ginecologi .. ma ha macchinari di ultima generazione quindi ne vale la pena!!!
Paziente
Paziente
Prima impressione positiva. Persona cordiale, che mette a proprio agio. Spiegazioni dettagliate e comprensibili.
Paziente
Paziente
Ho conosciuto la dottoressa due anni fa in occasione della mia prima gravidanza e la sua professionalità va oltre qualsiasi aspettativa. Allora ero al terzo mese di gravidanza e tutto quanto mi predisse si concretizzò.. Non ho memoria di un medico tanto empatico e attento, per me è la migliore nel suo campo.
Paziente
Paziente
Spiegazione dettagliata ed emozioni in anticipo straordinarie!!. Alta professionalità e competenza.
Paziente
Paziente
Efficiente come sempre, accorgimenti all’avanguardia, altissima professionalità e competenza . Grazie
Paziente
Paziente
La dottoressa è una professionista molto competente, scrupolosa ed esaustiva nelle spiegazioni. Grazie a lei ho scoperto cose che nessuno in precedenza aveva diagnosticato.
Paziente
Paziente
Dottoressa bravissima,molto professionale gentile mi ha spiegato tutto nei dettagli. Mi sono trovata benissimo.
Paziente
Paziente
Ha messo mia figlia a suo agio , le ha spiegato chiaramente e professionalmente tutto, di una gentilezza unica, disponibile e preparatissima!!!
Paziente
Paziente
Avevo difficoltà con la ricerca della gravidanza avendo avuto già una prima esperienza negativa. Ho seguito i suoi consigli e il trattamento specifico per la mia situazione e TUTTO é andato per il meglio. Ho una bambina stupenda Mi sento di consigliarla perché molto competente, attenta e gentile!
Paziente
Paziente
Un medico a 360 gradi.. sa consigliare la paziente anche al di fuori del suo campo .. è professionale cordiale e rassicurante...
Paziente
Paziente
Non si potrebbe desiderare medico migliore! Impareggiabile per competenza, professionalità, disponibilità, umanità.
Paziente
Paziente
La dottoressa è molto empatica e vicina al paziente. Ho potuto fare domande e togliermi dei dubbi che avevo da tempo senza problemi; la dottoressa è stata chiara e sempre molto gentile.
Paziente
Paziente
Cordialità, professionalita', attenzione. Sono rimasta soddisfatta per la cura nello spiegare determinati punti importanti ai fini del mio percorso.
Paziente
Paziente
Molto professionale e precisa nelle spiegazioni, se potessi avere di nuovo bisogno ritornerei volentieri dalla Dott.ssa
Paziente
Paziente
La dottoressa Luisa per me è la numero uno , Vai da lei per visita ginecologica ma poi in realtà lei ti cura a 360 ‘ , anzi mi correggo ,facciamo 365 ‘.... i cinque in più sono di sentimento che ci mette nel curarti . Grazie grazie grazie
Paziente
Paziente
Competente, attenta, molto professionale; mi ha dato speranza riguardo la mia problematica. Percorso appena iniziato.
Paziente
Paziente
La Dottoressa è fantastica. Accogliente e gentile, ti fa sentire a casa. È molto competente, già con la prima visita mi ha capita ed ha scoperto cose che la dottoressa precedente non ha mai considerato. Basti dire che faccio 1 ora di macchina per andare da lei a visita, ma la sua bravura non mi fa minimamente sentire il peso della strada. La consiglio vivamente!
Paziente
Paziente
La dottoressa è davvero competente e preparata, mi ha rassicurato e chiarito tanti dubbi che avevo. Ci vorrebbero più specialisti come lei.
Paziente
Paziente
Una grande professionista, seria , attenta , riesce a spiegare perfettamente ogni cosa. La mia dottoressa da anni, la consiglio vivamente
Paziente
Paziente
Mi sono trovata molto bene...La dottoressa è preparatissima molto competente... davvero brava e professionale...La consoglio
Paziente
Paziente
Ho effettuato la prima visita con la dottoressa, mi ha fatto davvero un’ottima impressione..grande professionalità. Ha risolto un problema che avevo da anni. La consiglio veramente!
Paziente
Paziente
Soddisfatta a pieno della visita ho fatto una ecografia in 4D. La dottoressa è davvero molto preparata.
Paziente
Paziente
La dottoressa Di Luzio è una professionista attenta e molto competente, sempre aggiornata. Dedica tempo alle informazioni alle pazienti
Paziente
Paziente
Conosco la Dotto.ssa Di Luzio da molti anni e posso affermare che è una professionista con una grande preparazione e disponibilità, mi sono sempre trovata benissimo, la consiglio vivamente!
Paziente
Paziente
La dottoressa è di grande professionalità e disponibilità,ti da sicurezza nel suo lavoro.cordiale e rassicurare con il paziente
Paziente
Paziente
Scrupolosa, attenta, accurata e chiara nella diagnosi. Possiede una elevata preparazione professionale. Mi ha seguito con cura sia durante la gravidanza che successivamente. La ritengo un ottimo medico.
Paziente
Paziente
Una professionista. Un medico unico! Scrupolosa, attenta, professionale, empatica e sensibile. Una visita accurata in ogni minimo dettaglio. Controlla e cura ogni singolo aspetto della cliente. Professionale e dolce nello stesso tempo con un giusto mix che la rendono unica. Non aspettavo altro che far controllare la mia bambina da i suoi attenti occhi con i suoi potenti macchinari. Nessuna dovrebbe privarsi di una visita con lei!
Paziente
Paziente
Grande professionalità e competenza, strumentazione di altissimo profilo, ottima per diagnosi e controlli legati all'endometriosi
Paziente
Paziente
Finalmente ho incontrato un dottore che ascolta, consiglia e presta le giuste attenzioni.. Massima professionalità.. Mi sento tranquilla e serena...
Paziente
Paziente
La Dottoressa Di Luzio è stata l’unica che è riuscita a diagnosticare la mia Endometriosi. È riuscita a vedere, con la sua esperienza, dei piccoli noduli nascosti di Endometriosi. Ha una visione ampia e approfondita della sua materia.
Paziente
Paziente
Dottoressa molto competente,profesionale.Disponibile nel rispondere a tutte le domande con pazienza.Mi sono trovata molto bene.
Paziente
Paziente
Capacità d'ascolto, attenzione e grande scrupolosità rendono la Luisa Di Luzio una delle Dottoresse con cui mi sia trovata meglio.
Paziente
Paziente
Sono in cura con la dottoressa Di Luzio da diversi anni. Ogni volta la sua professionalità e umanità aumentano e creano in me un senso totale di tranquillità. So di essere in ottime mani.
Paziente
Paziente
Sono da anni una paziente della dottoressa e parlare di lei vuol dire precisione, accuratezza, trasparenza, delicatezza, mette a proprio agio i pazienti. È sempre disponibile, e nonostante gli infiniti pazienti, cerca di aiutare come meglio può. È fiduciosa, gentile e positiva sempre, risolve ogni cosa nel miglior modo che può ed è ottimamente preparata e aggiornata. La migliore che si possa avere, non la cambierei con nessuno. Ama il suo lavoro e lo si vede da come lo svolge, sempre al meglio!
Paziente
Paziente
Da anni mi faccio curare dalla Dottoressa perché è molto attenta e scrupolosa nei confronti della paziente. È molto disponibile e ha sempre una soluzione! Molto spesso gli integratori o le medicine da assumere (per lo più naturali) sono stati provati dalla Dottoressa stessa. È una persona molto piacevole e gentile ma giustamente ferma nelle sue decisioni. Complimenti e grazie per gettare sempre il cuore oltre l ostacolo!!!
Paziente
Paziente
Sono in cura dalla dottoressa da poco più di un anno. Andata da lei per caso per forti dolori mestruali. In un anno mi ha trovato la causa e risolta; il mese scorso ho avuto la prima mestruazione quasi assente di dolore, un grande traguardo per me. Consiglio a tutti almeno una visita da lei, soprattutto a chi come me aveva dei problemi.
Paziente
Paziente
Dopo avere girato per quasi tre anni ben 6 ginecologi, ho finalmente incontrato lei!! Gentile e disponibile come pochi, è stata molto attenta ad ascoltami e a spiegarmi tutto. Il mio problema di endometriosi fino ad oggi era inesistente per gli altri dottori!!!
Paziente
Paziente
Ho riscontrato nella Dott.ssa Di Luzio tutte le qualità che dovrebbero appartenere ad un medico, competenza, professionalità, attenzione e metodiche di diagnostica all’avanguardia. Un plauso anche allo studio medico per la gestione degli appuntamenti. Consigliatissima!
Paziente
Paziente
Visita molto accurata, la dottoressa molto competente e professionale, in poche parole ti senti “ nelle mani giuste”
Paziente
Paziente
Professionale e attenta a tutte le mie esigenze. Persona disponibile e pronta ad ascoltarti.
Paziente
Paziente
Professionalità, precisione e meticolosità durante la visita. Macchinari aggiornati e alta competenza nell'utilizzo. Caratteristiche che un medico dovrebbe sempre avere ma in realtà difficili da trovare.
Paziente
Paziente
Estremamente Professionale e gentile. Scrupolosa e attenta a tutti i dettagli. E stata una esperienza decisamente positiva
Paziente
Paziente
Non ho mai incontrato nella mia vita una Dottoressa cosi professionale e attenta come lei. Straconsigliatissima ????????
Paziente
Paziente
professionale, precisa e tempestiva nelle diagnosi. Le terapie da lei adottate hanno sempre riportato risultati sperati.
Paziente
Paziente
Ho iniziato ad essere seguita dalla dott.ssa Di Luzio poco dopo aver scoperto di essere incinta. Si è dimostrata fin da subito molto competente, attenta e scrupolosa non guardando mai l’orologio durante il tempo che mi ha dedicato nelle visite fatte. Purtroppo la gravidanza non ha avuto un esito positivo ma è stata l’unica, nonostante fossi seguita anche da un primario nella regione in cui lavoro, a capire che c’erano dei problemi seri. Mi ha letteralmente salvato la vita e per questo le sarò grata a vita. In anni di visite e controlli annuali nessuno aveva notato che avevo un problema congenito all’utero. Grazie infinite e continui a fare questo lavoro con passione.
Paziente
Paziente
Dott.ssa molto scrupolosa , attenta e competente, esegue gli esami con tecniche e macchinari di ultima generazione. Io personalmente sono soddisfatta al 100% ! Complimenti!
Paziente
Paziente
Durante le sue visite la Dottoressa Di Luzio è sempre estremamente professionale, scrupolosa e disponibile. Ciò dà alla paziente la certezza e la serenità di essersi affidate alla figura migliore nel suo campo.
Paziente
Paziente
Una persona Precisa ,molto preparata super all’avanguardia ,empatica attenta al paziente sa ascoltare le esigenze delle pazienti
Paziente
Paziente
La dottoressa Di Luzio è una persona molto empatica, accogliente e preparata. Essendo inoltre molto informata sui nuovi farmaci e sulle nuove cure rappresenta un punto di riferimento per chi vuole risolvere delle particolari problematiche.
Paziente
Paziente
Sempre dolce e disponibile, risponde ad ogni dubbio. Durante la visita osserva ogni dettaglio del feto e del corpo della madre ed è molto scrupolosa
Paziente
Paziente
La d.ssa Di Luzio è una professionista attenta e scrupolosa. Usa anche medicina alternativa compatibile con le eventuali patologie di altro tipo che la paziente può avere. La consiglio vivamente
Paziente
Paziente
Molto umana, professionale, gentile e paziente. Studio pulito e tranquillo, segretaria molto disponibile e gentile. Tutto perfetto.
Paziente
Paziente
Professionista di altissimo livello professionale ed empatico. L'esperienza ecografica migliore della gravidanza. Segretaria efficente ,puntale e cordiale.
Paziente
Paziente
La dottoressa ci ha seguiti prima e durante la mia gravidanza in modo molto attento e scrupoloso. Fornisce moltissime informazioni in modo da dare molta consapevolezza ai futuri genitori. Eccellente nelle ecografie!
Paziente
Paziente
La Dottoressa Luisa Di Luzio è eccezionale, è molto gentile, ti fa sentire a tuo agio. La conosco da diversi anni. Consigliatissima
Paziente
Paziente
dottoressa umana,che ti spiega per filo e per segno cosa succede in quella specie di pera chiamata utero a tutto schermo davanti ai tuoi occhi, per due ore senza guardare l’ora Esempio unico di ginecologa all’avanguardia, schiaffo morale a chi ancora si ostina a non usare eco 3d ad alta risoluzione e a non diagnosticare per tempo l’endometriosi ad oggi malattia non più rara ma frequentissima subdola che può seriamente arrivare a rovinarti la vita e renderti invalida. Io ringrazio questa meravigliosa donna nonché eccellente medico che ha deciso di prendermi in cura azzerando tutto quello che c’è stato finora, queste due ore meravigliose di treno fatta per raggiungerla per poi ritrovarla a milano vicino casa Grazie Di Luzio ❤️
Paziente
Paziente
Professionalita' , preparazione e gentilezza sono le doti della dottoressa. La consiglio vivamente.
Paziente
Paziente
Sono diversi anni che vado dalla dottorexsa sempre molto dispinibile professionale attenta Ascolta dubbi e perplessita' dando la soluzione rassicurante Infonde fiducia Grazie
Paziente
Paziente
Direi eccezionale!!!Mi era stata diagnosticata una cisti dermoide che avrei dovuto operare e mi sono rivolta alla Dottoressa Di Luzio per ascoltare un altro parere..per farla breve non si trattava di una cisti ma di un fibroma da non operare..vi rendete conto se non fossi andata da lei magari mi sarei operata con tutte le conseguenze del caso.Inoltre avevo problemi di mal di testa che mi derivavano da uno scompenso ormonale risolti sempre grazie ai suoi consigli e alle sue cure..La consiglio vivamente sia per la sua preparazione ,professionalità e disponibilità.
Paziente
Paziente
Dottoressa molto dolce sorridente disponibile e sopratutto molto professionale e scrupolosa il top!!
Paziente
Paziente
Super professionale, gentile e premurosa. Studio pulito e in ordine. Io mi trovo benissimo e la consiglio fortemente.
Paziente
Paziente
Lo studio elegante e pulito. La segreteria puntuale e cortese. La dottoressa molto a modo e soprattutto molto meticolosa ed esaustiva delle spiegazioni durante la visita.
Paziente
Paziente
Cortesia efficienza e umanità hanno reso questo momento magico..dott oressa scrupolosa e davvero preparata...e anche molto simpatica..studio confortevole...molto elegante ..morfologica eseguita xon scrupolosita e avanguardia ringrazio la,dottoressa per avermi messo a mio agio la straconsiglio????
Paziente
Paziente
Professionalità e gentilezza contraddistinguono la dottoressa di Luzio. Studio bello e segretaria deliziosa.
Paziente
Paziente
Preparazione che stimola la fiducia, cordialità, professionalita' , studio all'avanguardia. Consigliato.
Paziente
Paziente
La dottoressa è stata come sempre molto disponibile, gentile, reperibile e attenta a non trascurare ogni dettaglio. Grazie a lei e alle sue cure sono migliorata sotto ogni aspetto, fisico e soprattutto mentale.. che dire è il top!
Paziente
Paziente
Da subito ispira fiducia. Capace di ascoltare e consigliare con linguaggio chiaro. Ho finalmente trovato una guida! Patrizia
Paziente
Paziente
Servizio ottimo sotto tutti i pdv. Cortesia puntualita e disponbilita del professionista, buon aspetto dello studio. Segreteria efficiente.
Paziente
Paziente
La Dottoressa Di Luzio è stata disponibile ed esaustiva. Approccio fantastico e mette subito a proprio agio la paziente. Si percepisce da subito la sua professionalità ed esperienza. Durante la visita è stata delicata e molto precisa nel Descrivere tutto ció che stavamo guardando sul monitor. La consiglio a tutte le donne.
Paziente
Paziente
Dottoressa preparata gentile ...Grazie che mi ha ricevuto perché era una cosa urgente per me..mi ha fatto vivere emozioni forti vedendo il mio piccolo che sta benne...Grazie ancora ????
Paziente
Paziente
Era la prima volta che andato da lei. L ho trovata una dottoressa innanzitutto super preparata ma soprattutto dolcissima. Mi sono trovata benissimo. Tornerò sicuramente da lei per una visita
Paziente
Paziente
Studio medico con apparecchiature all'avanguardia, estrema cura nella pulizia. La dottoressa mi ha messo subito a mio agio rispondendo a tutte le mie domande con gentilezza, pacatezza, serietà e professionalità.
Paziente
Paziente
La dottoressa Di Luzio si è mostrata subito un medico ed una persona estremamente professionale e cortese. È stata meticolosa nella visita e assolutamente chiara nelle spiegazioni del referto. Disponibilità, gentilezza e altissima preparazione professionalità.
Paziente
Paziente
Elevata professionalità. Dottoressa cordiale e disponibile.strumenti e apparecchiature di ultima generazione.
Paziente
Paziente
Una professionista attenta, aggiornata, chiara nella spiegazione della situazione riscontrata e Delle cure proposte. Ambienti accoglienti.
Paziente
Paziente
Siamo soddisfatti della visita. La dottoressa è gentile e disponibile, chiara nelle spiegazioni e ha delle ottime apparecchiature. Ne siamo usciti molto rassicurati e positivi. Grazie mille
Paziente
Paziente
La Dott.ssa è stata impeccabile come sempre e di elevatissima professionalità e preparazione. Segreteria efficiente e cordiale.
Paziente
Paziente
La dott.ssa Di Luzio è un medico speciale sia dal punto di vista professionale che umano. La visita è stata accurata e ricca di spiegazioni relativamente ad ogni passaggio effettuato. La consiglio vivamente e tornerò sicuramente da lei.
Paziente
Paziente
La mia esperienza di paziente con la Dott.ssa Maria Luisa di Luzio è assolutamente positiva. Dopo quasi un anno di vari appuntamenti mirati a consulenze ed esami (quali per esempio pap test, ecografie, ecc), ho rafforzato l’idea e la percezione avuta fin dal primo incontro. Ritengo che la Dott.ssa sia una professionista estremamente preparata, professionale, meticolosa, e sensibile. Avevo avuto già esperienze con altri professionisti del campo, ed ho potuto quindi constatare la particolare affidabilità della Dott.ssa di Luzio.
Paziente
Paziente
Dottoressa scrupolosa, pignola, precisa, di lunga esperienza, chiara nell'esposizione, infonde tranquillità anche di fronte ad una problematica importante. Utilizza un macchinario all'avanguardia che le permette di fare diagnosi accuratissime (oltre che vedere il sesso nello stesso giorno della translucenza!). È sempre aggiornata ed è a favore di cure 'naturali' (quando è possibile). Non guarda mai l'orologio durante la visita. Spesso mi sono trovata in sala d'attesa in presenza di pazienti inviate da altri ginecologi per una diagnosi più accurata. Il ginecologo ospedaliero a cui mi sono rivolta dopo aver trascorso tutta la gravidanza con la Dottoressa Di Luzio mi disse: "fare un' ecografia ad una pz della Di Luzio è come per un menestrello andare a suonare sotto casa di De gregori".
Paziente
Paziente
Grande professionalità, gentilezza ed empatia, ci si trova a contatto con una dottoressa estremamente professionale ma al tempo stesso molto cordiale e simpatica
Paziente
Paziente
Prima visita per sospetto utero bicorne. Dopo aver girato vari medici, finalmente ho trovato la Dottoressa competente in materia. Finalmente ho avuto una diagnosi precisa ed ora so quali sono i passi successivi da fare. Davvero molto gentile e esauriente nelle spiegazioni
Paziente
Paziente
Dottoressa e ricercatrice veramente molto preparata non solo nel campo della ginecologia ma anche in altri settori quali ad es.le intolleranze, la genetica, ecc. Sempre molto disponibile e paziente. Sa ascoltare con pazienza.
Paziente
Paziente
Estrema professionalità, anamnesi ed ecografia accurate, attenzione al paziente. Ambiente confortevole
Paziente
Paziente
Ho trovato utile il miodottore poiché mi ha permesso di scegliere in maniera autonoma e in piena libertà il giorno e l'ora dell'appuntamento con la certezza che comunque sarebbe arrivata una telefonata da parte della segretaria della dottoressa. Ho trovato la dott.ssa professionalmente super competente con approccio al paziente fantastico. Tutto decisamente positivo. L'attesa un po' lunga ma ben ricompensa.
Paziente
Paziente
La dottoressa Di Luzio, oltre che essere una professionista impeccabile, è una donna e medico di un'umanità eccezionale. La conosco da diverso tempo e ogni visita con lei è sempre un piacere. La sua continua formazione abbinata alla sua scrupolosità la portano ad essere un medico eccellente, capace di risolvere ogni problematica nella migliore delle situazioni.
Paziente
Paziente
La Dottoressa è calma e scrupolosa. Esaustiva nelle spiegazioni, molto preparata. Assolutamente consigliata.
Paziente
Paziente
Scrupolosa,attenta,gentile,preparata. Vale la pena spendere qualcosa in più vi assicuro che nel mio caso (non gravidanza ) ma una diagnosi più seria per mia figlia sono stata soddisfatta per la cura nel dettaglio per la calma nel spiegare il caso ....vi consiglio vivamente la dottoressa senza ombra di dubbio,un ultimo complimento : LA PULIZIA super pulito curato ( la segretaria non da meno disponibile gentile educata) grazie a presto
Paziente
Paziente
Un medico che ispira fiducia... Molto competente e scrupoloso, attento a tanti particolari che spesso vengono trascurati da altri colleghi... La consiglio vivamente.
Paziente
Paziente
Bravissima,professionale,preparatissima,il top! Unica! Solo lei é riuscita a visitarmi nonostante ne avessi provati tanti/e ....Non ci credo ancora ! La consiglio a tutte e la ringrazio di cuore.
Paziente
Paziente
Dottoressa di estrema competenza, macchinari all'avanguardia, disponibile la raccomando a tutte le donne che siano in gravidanza e non. Non lascia nulla al caso.
Paziente
Paziente
Una persona squisita e gentile. Professionalitã ad altissimo livello. Il suo sorriso trasmette serenitâ. Grazie mille
Paziente
Paziente
Dottoressa molto competente ottima accoglienza visita molto profonda durata un ora e mezza. La consiglio ottima dottoressa
Paziente
Paziente
Professionalità fuori dal comune. Sempre aggiornata sui continui sviluppi della medicina. Comprende ogni aspetto della gravidanza non solo quelli relativi al feto.
Paziente
Paziente
Ho effettuato l'esame della translucenza nucale nello studio della dott.ssa di Pescara e sono rimasta molto colpita dalla notevole professionalità e dalla competenza della ginecologa che oltretutto si è mostrata estremamente chiara ed esaustiva nelle spiegazioni durante la visita. Credo che anche l'umanità e la sensibilità siano virtù importantissime da ricercare in un medico ed oggigiorno non sempre sono riscontrabili non solo nelle strutture pubbliche ma nemmeno negli studi privati, dove spesso ci si reca per cercare un interlocutore che si mostri più vicino al paziente. Sono estremamente soddisfatta sia dell'ecografia che la dott.ssa mi ha fatto sia del trattamento personale ricevuto e consiglio vivamente alle future mamme come me di affidarsi a lei perché è un medico straordinario.
Paziente
Paziente
Attenta, professionale, scrupolosa, precisa, dolce, delicata e molto umana. La visita è super dettagliata e la dottoressa riesce a notare ogni piccola cosa, approfondendo con eccessivo (che non guasta) scrupolo. Contenta di essermi rivolta a lei, la ringrazio, la consiglieró a tutti e sicuramente in una prossima gravidanza tornerò presso la Dottoressa Di Luzio.
Paziente
Paziente
La professionalità e la delicatezza unita alla spiegazione accurata delle immagini, la tutela della madre e del feto sin dai primi battiti. Nulla viene trascurato ma attentamente esaminato ed approfondito.
Paziente
Paziente
Ottima esperienza, professionalità, empatia, cordialità. Siamo stati dalla dottoressa per una visita durante un periodo di vacanza e non avremmo potuto chiedere si meglio. attrezzatura all'avanguadia e grande esperienza hanno creato l'atmosfera perfetta. Dovessimo avere ancora bisogno durante future visite pescaresi ci rivolgeremo sicuramente a lei.
Paziente
Paziente
Ho avuto la fortuna di essere seguita dalla Dottoressa Di Luzio per le ecografie più importanti dei 3 trimestri della gravidanza (translucenza nucale, morfologica e accrescimento). Persona davvero scrupolosa,preparata,attenta e molto gentile !!! Mi sono trovata davvero benissimo.
Paziente
Paziente
È la dottoressa più competente in questo ambito: disponibile, gentile e sempre scrupolosa e attentissima. Dopo la prima bambina siamo tornati anche per la seconda gravidanza.
Paziente
Paziente
Che dire tutto ottimo.la professionalità e la disponibilità della dottoressa non ha eguali.grazie a lei ora possiamo stringere tra le braccia il nostro piccolo tanto desiderato;noi non la cambieremo mai e la consigliamo vivamente a tutti!!! Non possiamo altro che dirle una semplice parola...GRAZIE che racchiude tutto quello che pensiamo di lei!! e ovviamente un grazie speciale va anche alla segretaria che ha avuto anche lei un ruolo fondamentale 'accompagnandoci' verso questo lungo percorso....grazie grazie!!
Paziente
Paziente
L'esame è stato molto approfondito e la Dott.ssa si è dimostrata molto disponibile anche alle domande e curiosità emerse durante l'ecografia morfologica. Ho già preso appuntamento per l'ecografica del Settimo mese. Molto soddisfatta
Paziente
Paziente
...

Vuoi prendere un appuntamento?

Prenota una visita Contattami